Shkaqet, simptomat, diagnostikimi dhe kur cistat e veshkave mund të bëhen problem
Cistet e veshkave janë një dukuri shumë e shpeshtë, sidomos te personat e moshuar. Zakonisht bëhet fjalë për qese të vogla, të rrumbullakëta, të mbushura me lëng të pastër, të cilat formohen në sipërfaqen e veshkave ose brenda njësive të tyre funksionale – nefroneve.
Çfarë madhësie kanë më shpesh cistet e veshkave?
Madhësia e cisteve të veshkave zakonisht është sa një kokërr bizeleje, por në raste ekstreme ato mund të rriten deri në përmasa sa një grejpfrut. Edhe pse në shumicën e rasteve nuk shkaktojnë asnjë shqetësim dhe shumë njerëz për vite me radhë nuk e dinë se i kanë, rritja e cistes, çarja e saj ose infeksioni mund të çojnë në shfaqjen e simptomave dhe nevojën për trajtim.
Brenda veshkave ndodhen nefronet – filtra dhe kanale të imta që pastrojnë gjakun dhe prodhojnë urinën. Cistet e veshkave formohen kur një nga këta tubula zgjerohet dhe mbushet me lëng. Shkaku i saktë nuk dihet, por mendohet se dëmtimet ose bllokimet mikroskopike mund të kontribuojnë në formimin e tyre.
Cistet e thjeshta të veshkave nuk janë të trashëgueshme dhe në shumicën dërrmuese të rasteve janë plotësisht të padëmshme. Në popullatën mbi moshën 50 vjeç, pothuajse gjysma e njerëzve kanë të paktën një ciste, më së shpeshti vetëm në njërën veshkë, ndërsa rreziku për shfaqjen e cisteve të reja rritet me kalimin e moshës, transmeton Telegrafi.
Cilat simptoma tregojnë praninë e cisteve të veshkave?
Simptomat shfaqen vetëm kur cisti fillon të ndikojë në strukturat përreth. Shqetësimet më të shpeshta përfshijnë dhimbje në anë të trupit, në shpinë ose bark, urinim të shpeshtë, urinë të errët ose prani gjaku në urinë, si edhe temperaturë të lartë. Cistet shumë të mëdha mund të ushtrojnë presion mbi organe të tjera ose të pengojnë funksionimin normal të veshkave, ndërsa ndonjëherë mund të kontribuojnë edhe në zhvillimin e tensionit të lartë të gjakut.
Diagnostikimi
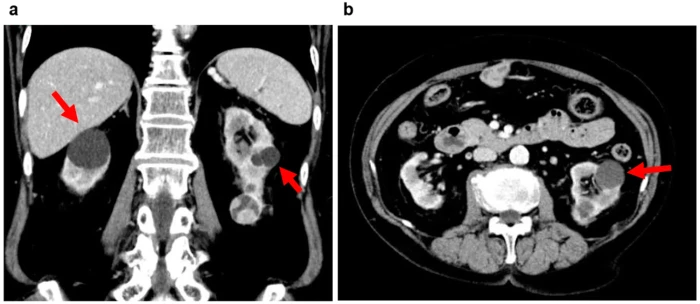
Diagnostikimi është i thjeshtë dhe shpesh i rastësishëm, pasi cistet zbulohen gjatë ekzaminimeve të kryera për arsye të tjera. Ekografia është zgjedhja e parë, sepse tregon qartë nëse cisti është e mbushur me lëng, ndërsa CT-ja dhe rezonanca magnetike ndihmojnë më tej në dallimin e cisteve nga masat solide.
Veçanërisht e rëndësishme është vlerësimi i pamjes së murit të cistit, prania e kalcifikimeve dhe rregullsia e kufijve, sepse këto karakteristika përcaktojnë rrezikun e malignitetit.
Si trajtohen cistet e veshkave?
Shumica e cisteve të veshkave nuk kërkojnë asnjë trajtim. Mjafton ndjekja periodike, për sa kohë që cisti nuk shkakton simptoma dhe nuk ndikon në funksionin e veshkave. Kur ndërhyrja bëhet e nevojshme, ekzistojnë dy qasje kryesore: punkcioni me skleroterapi (zbrazja me gjilpërë dhe injektimi i një solucioni që pengon grumbullimin e ri të lëngut) dhe operacioni laparoskopik, me të cilin cisti hiqet përmes prerjeve të vogla në bark. Të dyja procedurat kanë shkallë të lartë suksesi dhe komplikime të rralla.
A mund të parandalohet shfaqja e tyre?
Cistet e veshkave nuk mund të parandalohen plotësisht, por rekomandohet marrja e mjaftueshme e lëngjeve dhe kontrolli i marrjes së natriumit, veçanërisht te personat me hipertension ose sëmundje kronike të veshkave. Është e rëndësishme të kërkohet ndihmë mjekësore nëse shfaqen dhimbje, ethe, gjak në urinë ose çfarëdo shqetësimi që mund të tregojë çarje apo infeksion të cistes. /Telegrafi/




